
Case Study: Scleral Lens Simplicity: Utilizing Anterior Segment OCT for Scleral Lens Fitting
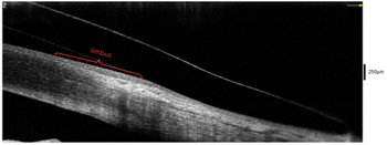
This case study explores the role of anterior segment OCT in fitting a scleral lens for a patient with keratoconus following corneal cross-linking. Despite being limited to one lens due to cost, the patient experienced significant visual improvement. The case underscores how OCT can streamline the fitting process, enhance precision, and support better clinical decisions in specialty contact lens care.