Case Study: Advanced AMD Monitoring using OCT-A
In this compelling case study, a 75-year-old woman with intermediate age-related macular degeneration (AMD) and a four-year history of non-exudative macular neovascularization (NE-MNV) is closely monitored using advanced OCT-A technology.
Despite her report of increased visual distortion and a subtle increase in lesion size, her condition remained stable without signs of exudation. Through serial imaging, home monitoring, and careful follow-up, the case highlights the power of OCT-A in tracking NE-MNV progression and the importance of vigilance in preventing its conversion to an exudative form.
How long can a potentially dangerous lesion remain stable—and might it even play a protective role? Read on to discover how modern imaging and personalized care converge in the nuanced management of AMD.
A 75-year-old female patient presented for re-evaluation of intermediate age-related macular degeneration (AMD). She had noticed a bit more distortion in her vision OS since her last visit 6 months prior. She had been diagnosed with non-exudative macular neovascularization (NE-MNV) approximately 4 years ago and was typically seen every 6 months in clinic for dilation as well as optical coherence tomography (OCT) and OCT-angiography (OCT-A).
The patient utilizes home monitoring with ForeseeHome (FSH) technology (Notal Vision) to monitor her vision between office visits. She reported compliance with home monitoring and AREDS 2 supplements. No recent alerts were noted. Ocular history was remarkable for previous cataract surgery OU. Medical history was remarkable for type 2 diabetes, diagnosed approximately 20 years ago, with no history of diabetic retinopathy.
Visual acuity was 20/20 OD and 20/30 OS. This was stable compared to her last visit. Intraocular pressure was 12 mmHg OD and 14 mmHg OS via Goldmann applanation tonometry. Anterior segment examination revealed well-centered posterior chamber IOLs with trace posterior capsule opacification OU. Posterior segment examination showed medium and large drusen, RPE changes, and no evidence of fluid or hemorrhage OU. There was no evidence of diabetic retinopathy.

Figure 1. OCT-A and structural OCT of the left eye (2021) reveal a stable non-exudative MNV with no signs of fluid, consistent with non-exudative macular neovascularization (NE-MNV).
Figure 2. OCT-A with color overlay (2021) confirms a stable non-exudative neovascularization in the choriocapillaris slab, without fluid or retinal thickening, consistent with inactive macular neovascularization.
Figure 3. Multimodal OCT and OCT-A imaging of the left eye (2021), showing stable non-exudative macular neovascularization (NE-MNV).
Figure 4. OCT-A scans with corresponding B-scan images of the left eye over multiple time points from July 2020 to 2022, showing stable non-exudative macular neovascularization (NE-MNV) and no signs of intraretinal or subretinal fluid.
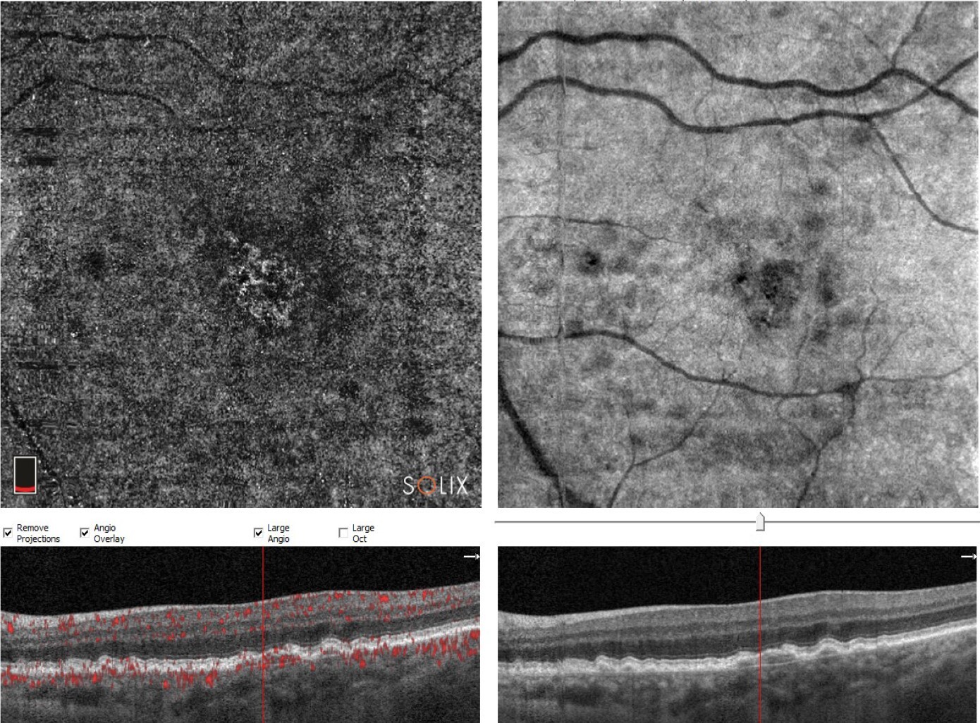
OCT and OCT-A were performed (Optovue Solix) to evaluate for signs of exudation OU and to assess the stability of her NE-MNV OS. No evidence of exudation or neovascularization was noted OD. OS showed stable drusen and a shallow retinal pigment epithelial detachment. OCT-A confirmed non-exudative CNV, slightly larger than previously noted. Of note, this was her first image on the Optovue Solix device. There was no evidence of intraretinal or subretinal fluid OS (Figures 5-7).
Figure 5. Scanning laser ophthalmoscopy (SLO) and OCT-A imaging from 2025 reveal a mature, non-exudative Type 1 neovascularization with no fluid on OCT and corresponding hyperreflective vascular complex in the choriocapillaris slab, suggestive of a stabilized lesion under surveillance.
Figure 6. Multimodal OCT imaging from 2025 confirms a stable, non-exudative neovascularization in the choriocapillaris slab with preserved retinal architecture and no evidence of intraretinal or subretinal fluid. Retinal nerve fiber layer (RNFL) and ganglion cell complex (GCC) thicknesses remain within normal limits.

Figure 7. En face OCT images (2025) of the left eye show neovascularization with RPE disturbance but no signs of exudation.
The patient was recommended to continue home monitoring and nutritional supplements. A follow-up appointment was scheduled for 6 months, sooner if new symptoms developed.
Non-exudative MNV usually refers to the entity of treatment naïve type 1 neovascularization in the absence of associated exudation.1 With OCT-A, there has been an ever-increasing appreciation of NE-MNV associated with AMD. The existing literature demonstrates that the presence of a newly diagnosed MNV in a non-exudative state represents a strong risk factor for future development of exudation, indicating the need for close monitoring after detection.
The mechanism of conversion from the non-exudative to the exudative stage of MNV is not completely understood. The 2-year cumulative exudation risk is 13.6 times greater in eyes with non-exudative MNV compared with eyes without detectable lesions, thus highlighting the importance of frequent monitoring in this population.2Observation of NE-MNV is currently the recommended strategy, as anti-VEGF therapy should only be considered in cases with evidence of exudation (intraretinal and/or subretinal fluid).
This case demonstrates that NE-MNV may stay relatively stable for years. There is speculation that this may be a protective mechanism to reduce risk of geographic atrophy. When a new non-exudative lesion is detected, the follow-up interval should be decreased with more frequent examination and imaging. With chronic lesions, patients can be typically monitored every 4 to 6 months.
References
- Parravano M, Corradetti G, Cabral D, et al. Towards a better understanding of non-exudative choroidal and macular neovascularization. Prog Retin Eye Res. 2023 Jan; 92:101113.
- Yang J, Zhang Q, Motulsky E, et al. Two-year risk of exudation in eyes with nonexudative age-related macular degeneration and subclinical neovascularization detected with swept source optical coherence tomography angiography. Am J. Ophthalmol. 208. 1-11.
OPTOVUE SOLIX BY VISIONIX
- The ONLY OCT with FDA-cleared OCT-A metrics
FullRange® Retinal 16x6.25mm scan- FullRange® Anterior Chamber 18x6.25mm scan
- Ultra-fast 120kHz scan speed
- Higher scan density & precision vs. other OCTs/OCT-As
- Integrated fundus camera
- External color & IR imaging
- New optional Topography Module available!
Dr. Dierker is the Director of Optometric Services at Eye Surgeons of Indiana. He is a graduate of the Indiana University School of Optometry and has completed fellowship training in consultative optometry. He specializes in the diagnosis and management of eye diseases.
In 2007, Dr. Dierker was awarded Fellowship in the American Academy of Optometry. This prestigious honor is given to only a small number of optometrists throughout the country. As an adjunct faculty member at the Indiana University School of Optometry, he directs the clinical externship program at Eye Surgeons of Indiana. Recently, he has served his profession as President of the Indiana Optometric Association. Additionally, he frequently presents continuing education lectures to other doctors throughout the country and works closely with leaders in industry on various endeavors that are focused on improving patient care. He is the founder of Dry Eye Boot Camp and co-founder of Eyes on Dry Eye, both of which are educational programs for eye care professionals.
This article originally appeared in OCT Insights in Optometric Management magazine in November 2025: https://www.optometricmanagement.com/issues/2025/october/advanced-amd-monitoring-using-oct-a/
**The information provided is for general informational purposes only. It is not intended to replace and should not be considered a substitute for professional medical advice, diagnosis, or treatment. The content is not designed to replace the relationship between a patient and their healthcare provider. Any medical decision should be made in consultation with a qualified healthcare professional who can provide information tailored to your individual situation. Medical procedures, case studies, and practices mentioned in this content may vary depending on regional standards, local regulations, and the discretion of the healthcare provider. The views and experiences expressed are those of the individual user. They may involve off-label use of the medical device, which is not endorsed or approved by the manufacturer. What may be considered appropriate and ethical in one country may differ in another. The content may include general references to medical practices, medications, or treatments that are widely accepted in certain regions but may not be universally applicable or approved. It is important to consult a healthcare professional in your jurisdiction to ensure that the information is relevant to your specific situation. The authors, editors, and contributors of this content disclaim any liability for any adverse effects resulting directly or indirectly from the information contained herein. Readers should exercise their own judgment and seek advice from healthcare professionals when necessary. By accessing and using this content, you acknowledge and accept the terms of this disclaimer.