Case Study: Patient Resistant to Anti-VEGF
In this compelling case, a 77-year-old man with exudative macular degeneration in the right eye initially responded well to monthly anti-VEGF injections but later developed worsening choroidal neovascularization (CNV) and declining vision. OCT and OCT angiography identified an enlarging CNV complex beneath a pigment epithelial detachment despite treatment. Increasing the injection frequency to every two weeks led to anatomical improvement and restoration of vision to 20/25.
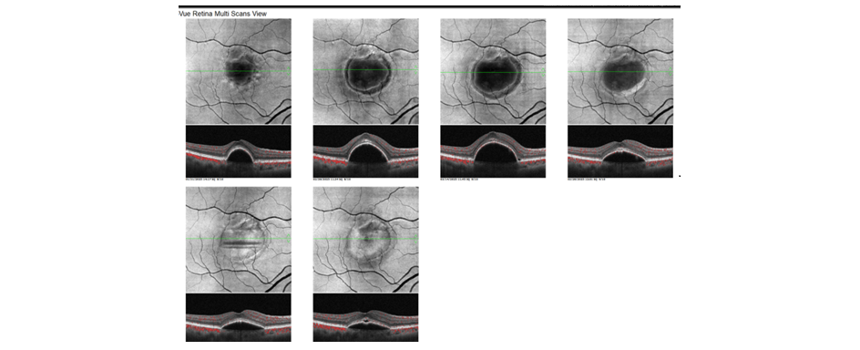
A 77-year-old male presented to my clinic complaining of distortion in his right eye. He was found to have exudative macular degeneration in his right eye and dry macular degeneration in his left. He was treated with injections of Anti-VEGF and was doing quite well with monthly injections for nine months with vision of 20/25 and normal eye pressure, at which point his response dwindled and the CNV enlarged in size despite monthly injections (Figure 1). The first image shows his PED/CNV on monthly injections; the second scan is one month later. Despite one of the stronger anti-VEGF drugs, his vision dropped to 20/40 in his right eye. The patient felt his vision improved immediately after injections and got worse again sooner than one month. Due to his lack of response to the standard treatment, we attempted to increase injection frequency to every two weeks instead of four. He finally improved once injections were given every two weeks as shown in the fourth scan.
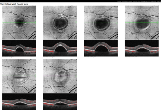
OCT and OCT Angiography were performed using the Optovue Solix by Visionix to evaluate the structural abnormalities and better characterize this patient’s neovascularization. OCT Angiography confirmed a choroidal neovascular complex under the enlarging pigment epithelial detachment (Figure 1). Figure 2 shows the CNV within this PED, and Figure 3 shows the en face OCT demonstrating worsening and resolution. The comparison tool on the Optovue Solix machine was instrumental in assessing treatment response and assuaging the patient’s concerns that he would continue to worsen. Once he saw improvement, he felt more comfortable, and we continued the treatment course. His PED continues to improve, and his vision is back to his baseline of 20/25.
Macular degeneration is a common disease in the retina clinic. This case was unique in that most patients respond to monthly injections (if not less frequently with newer medications). This patient was treatment resistant to the usual management course. As the patient let us know his treatment effect faded more quickly, we were able to manage his disease and improve his vision with a treatment plan tailored to him.

Figure 1 - OCT Angiography confirmed a choroidal neovascular (CNV) complex under the enlarging pigment epithelial detachment. The images show the patient’s CNV enlarging in size despite monthly Anti-VEGF injections.

Figure 2 shows the Choroidal Neovascular (CNV) network within the Pigment Epithelial Detachment (PED).
Figure 3 shows the en face OCT demonstrating worsening and resolution.
OPTOVUE SOLIX BY VISIONIX
- The ONLY OCT with FDA-cleared OCT-A metrics
FullRange® Retinal 16x6.25mm scan- FullRange® Anterior Chamber 18x6.25mm scan
- Ultra-fast 120kHz scan speed
- Higher scan density & precision vs. other OCTs/OCT-As
- Integrated fundus camera
- External color & IR imaging
- New optional Topography Module available!
This article originally appeared in Ophthalmology Management in March 2026.

Dr. Alexander Barash is a vitreoretinal surgeon and retinal specialist. He graduated magna cum laude from Cornell University and earned his MD from Icahn School of Medicine at Mount Sinai. He completed his ophthalmology residency at Stony Brook University Hospital and a vitreoretinal fellowship at New York Eye and Ear Infirmary of Mount Sinai. He also teaches ophthalmology residents and retina fellows at New York Eye and Ear, Elmhurst Hospital Center, and Mount Sinai Hospital.
Dr. Barash has participated in ophthalmic missions in Uganda, Peru, and Mongolia and is an active researcher with numerous publications and presentations, including work supported by a Doris Duke Clinical Research Fellowship. Outside of medicine, he enjoys photography, biking, and playing guitar.
**The information provided is for general informational purposes only. It is not intended to replace and should not be considered a substitute for professional medical advice, diagnosis, or treatment. The content is not designed to replace the relationship between a patient and their healthcare provider. Any medical decision should be made in consultation with a qualified healthcare professional who can provide information tailored to your individual situation. Medical procedures, case studies, and practices mentioned in this content may vary depending on regional standards, local regulations, and the discretion of the healthcare provider. The views and experiences expressed are those of the individual user. They may involve off-label use of the medical device, which is not endorsed or approved by the manufacturer. What may be considered appropriate and ethical in one country may differ in another. The content may include general references to medical practices, medications, or treatments that are widely accepted in certain regions but may not be universally applicable or approved. It is important to consult a healthcare professional in your jurisdiction to ensure that the information is relevant to your specific situation. The authors, editors, and contributors of this content disclaim any liability for any adverse effects resulting directly or indirectly from the information contained herein. Readers should exercise their own judgment and seek advice from healthcare professionals when necessary. By accessing and using this content, you acknowledge and accept the terms of this disclaimer.