Skip to content

Blog posts by Alexander Barash, MD

  • Case Study: Patient Resistant to Anti-VEGF Image

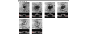
    Case Study: Patient Resistant to Anti-VEGF

    In this compelling case, a 77-year-old man with exudative macular degeneration in the right eye initially responded well to monthly anti-VEGF injections but later developed worsening choroidal neovascularization (CNV) and declining vision. OCT and OCT angiography identified an enlarging CNV complex beneath a pigment epithelial detachment despite treatment. Increasing the injection frequency to every two weeks led to anatomical improvement and restoration of vision to 20/25.
    Read article